DIPOL Fälle NCH

Fall 1 - Neuroonkologie

Fall 2 - Vaskuläre Neurochirurgie

Fall 3 - Neuroonkologie

Fall 4 - Schmerzen der Hand

Information, Datenschutz und Impressum
Schließen

Das Bildmaterial für diese WebApp wurde unter anderen aus folgenden Quellen mit freien Lizenzen acquiriert:

Schließen

Impressum Angaben gemäß § 5 TMG:

Amir Zolal
Fetscherstr. 74
01326 Dresden

Kontakt:

Telefon: 0049 351 45818534
EMail: amir.zolal/at/uniklinikum-dresden.de

Haftung für Inhalte

Als Diensteanbieter sind wir gemäß § 7 Abs.1 TMG für eigene Inhalte auf diesen Seiten nach den allgemeinen Gesetzen verantwortlich. Nach §§ 8 bis 10 TMG sind wir als Diensteanbieter jedoch nicht verpflichtet, übermittelte oder gespeicherte fremde Informationen zu überwachen oder nach Umständen zu forschen, die auf eine rechtswidrige Tätigkeit hinweisen.

Verpflichtungen zur Entfernung oder Sperrung der Nutzung von Informationen nach den allgemeinen Gesetzen bleiben hiervon unberührt. Eine diesbezügliche Haftung ist jedoch erst ab dem Zeitpunkt der Kenntnis einer konkreten Rechtsverletzung möglich. Bei Bekanntwerden von entsprechenden Rechtsverletzungen werden wir diese Inhalte umgehend entfernen.

Haftung für Links

Unser Angebot enthält Links zu externen Webseiten Dritter, auf deren Inhalte wir keinen Einfluss haben. Deshalb können wir für diese fremden Inhalte auch keine Gewähr übernehmen. Für die Inhalte der verlinkten Seiten ist stets der jeweilige Anbieter oder Betreiber der Seiten verantwortlich. Die verlinkten Seiten wurden zum Zeitpunkt der Verlinkung auf mögliche Rechtsverstöße überprüft. Rechtswidrige Inhalte waren zum Zeitpunkt der Verlinkung nicht erkennbar.

Eine permanente inhaltliche Kontrolle der verlinkten Seiten ist jedoch ohne konkrete Anhaltspunkte einer Rechtsverletzung nicht zumutbar. Bei Bekanntwerden von Rechtsverletzungen werden wir derartige Links umgehend entfernen.

Urheberrecht

Die durch die Seitenbetreiber erstellten Inhalte und Werke auf diesen Seiten unterliegen dem deutschen Urheberrecht. Die Vervielfältigung, Bearbeitung, Verbreitung und jede Art der Verwertung außerhalb der Grenzen des Urheberrechtes bedürfen der schriftlichen Zustimmung des jeweiligen Autors bzw. Erstellers. Downloads und Kopien dieser Seite sind nur für den privaten, nicht kommerziellen Gebrauch gestattet.

Soweit die Inhalte auf dieser Seite nicht vom Betreiber erstellt wurden, werden die Urheberrechte Dritter beachtet. Insbesondere werden Inhalte Dritter als solche gekennzeichnet. Sollten Sie trotzdem auf eine Urheberrechtsverletzung aufmerksam werden, bitten wir um einen entsprechenden Hinweis. Bei Bekanntwerden von Rechtsverletzungen werden wir derartige Inhalte umgehend entfernen.

Schließen Datenschutzerklärung Datenschutz

Die Betreiber dieser Seiten nehmen den Schutz Ihrer persönlichen Daten sehr ernst. Wir behandeln Ihre personenbezogenen Daten vertraulich und entsprechend der gesetzlichen Datenschutzvorschriften sowie dieser Datenschutzerklärung.

Die Nutzung unserer Webseite ist in der Regel ohne Angabe personenbezogener Daten möglich. Soweit auf unseren Seiten personenbezogene Daten (beispielsweise Name, Anschrift oder E-Mail-Adressen) erhoben werden, erfolgt dies, soweit möglich, stets auf freiwilliger Basis. Diese Daten werden ohne Ihre ausdrückliche Zustimmung nicht an Dritte weitergegeben.

Wir weisen darauf hin, dass die Datenübertragung im Internet (z.B. bei der Kommunikation per E-Mail) Sicherheitslücken aufweisen kann. Ein lückenloser Schutz der Daten vor dem Zugriff durch Dritte ist nicht möglich.

 

Schließen

Herr Gross ist ein Verkehrspolizist. In den letzten 2 Monaten hat er vermehrt Kopschmerzen bemerkt, welche er der hohen Arbeitsbelastung und dem Stress zugeschrieben hat. Eines Morgens am Dienstag fing der linke Arm plötzlich an zu Zucken. Die Zuckung hat von alleine aufgehört, allerdings war der Arm nachher "komisch". Herr Gross hat daraus vorerst nichts gemacht und ging bis Freitag ganz normal auf Arbeit. Am Samstag nach dem Frühstück hat der Arm wieder angefangen zu zucken. Diesmal hat die Zuckung nicht aufgehört, sondern sich auf den ganzen Körper verbreitet. Herr Gross wurde bewusstlos und die Frau hat den Rettungsdienst alarmiert.

Der Notarzt Dr. Schmidt sah einen 56-jährigen Patienten, somnolent aber orientiert. Pupillen isokor, mittelweit mit erhaltener Lichtreaktion. Ausserdem wurde eine leichte Hemiparese links festgestellt (Absinktendenz im Armhalteversuch). Keine Pyramidrnbahnzeichen. Kein Sturz oder sonstiges Kopftrauma in den letzten 3 Monaten erinnerlich. Der Notarzt hat sich entschieden, den Patienten im Klinikum Freital zu weiterer Untersuchung vorzustellen. Es wird gleich eine Flexüle gelegt. Die Ehefrau des Patienten fragt Dr. Schmidt nach möglichen Ursachen des Zustandes.



Lernpunkte
Close

Lernpunkte:
1. Abklärung des erstmaligen epileptischen Krampfanfalls im Erwachsenenalter - AWMF Leitlinie
2. Wie würde man die Anfälle vor dem jetztigen Anfall beschreiben?
3. Wie würde man den aktuellen Anfall beschreiben?
4. Kann eine Hemiparese durch einen Krampfanfall entstehen?
5. Warum ist ein Transport ins Krankenhaus indiziert?

Im Krankenhaus Freital wird der Patient durch Dr. Klein untersucht, zuerst wird ein natives CT des Kopfes durchgeführt. Das Blut, was der Notarzt schon während der Fahrt abgenommen hat, wird ins Labor geschickt. Der Kurzbefund vom CT lautet:

Eine intraaxiale, rundliche, ca 3,5 cm große Raumforderung im rechten Frontallappen, zentral hypodens, mit mäßigem Perifokalödem. Kein Anhalt für eine Einblutung. Keine Verkalkungen. Dringend MRT und neurochirurgische Vorstellung empfohlen.

Nach der Untersuchung wartet Herr Gross in der Notaufnahme auf Dr. Klein. Plötzlich ruft die Schwester den jungen Assistenzarzt. "Herr Dr. Klein, der Patient krampft!" Der Patient liegt am Bett und der linke Arm zuckt unwillkürlich. Nun muss der Arzt entscheiden, welche Behandlungsmaßnahmen notwendig sind.

CT Bild
CloseCT Bild
Lernpunkte
Close

Lernpunkte:
1. Akute Behandlung des epileptischen Krampfanfalls?
2. Interpretation des CT Befundes? (s. Bild) inkl. Differentialdiagnosen?
3. Wie sieht eine Blutung im Hirn aus? (Google Image Suche)
4. Kann man anhand von diesem CT schon operieren?

Es wurden 2 mg Tavor i.v. verabreicht. Nach der Gabe des Medikamentes sistiert die Zuckung, allerdings ist der Patient jetzt somnolent. Er reagiert nun auf Ansprache mit Augenöffnen und unverständlichen Worten. Dr. Klein ist unsicher, ob der Patient nun doch nicht zur Atemwegsicherung intubiert werden sollte. Er ruft seinen Oberarzt an, der jedoch beim erweckbaren Patienten mit GCS über 8 keine Intubation empfiehlt. Mittlerweile sind Ergebnisse aus dem Labor gekommen:

Erythrozyten 5.1 x 10^6 / mm³
Leukozyten 8,9 x 10^3 / mm³
Thrombozyten 212 x 10^3 / mm3
CRP 22 mg / l

Der Rest des Befundes ist unauffällig. Dr. Klein vereinbart jetzt mit der diensthabenden Neurochirurgin der Uniklinik Dresden, Frau Dr. Müller, die Verlegung des Patienten.

Lernpunkte
Close

Lernpunkte:
1. Wodurch kann eine Vigilanzminderung nach einem Krampfanfall verursacht werden?
2. Kann man anhand des Laboregebnisses ein Hirnabszess schon ausschliessen? (PubMed)
3. Bei welchem GCS wäre die Indikation zur Intubation für den Transport gegeben?
4. Was begründet die Indikation zum notfallmäßigen Transport in die Neurochirurgie?

Frau Dr. Müller bespricht die Befunde mit Dr. Klein und empfiehlt ihm nach wiederholtem epileptischen Anfall die Gabe von 1000 mg Levetiracetam (Keppra) als Kurzinfusion. Nach dem Gespräch ruft sie die chirurgische Notaufnahme des Uniklinikums an: „Es kommt ein Patient aus dem Krankenhaus Freital, nicht intubiert, somnolent, unter dem Verdacht auf Hirnabszess, differenzialdiagnostisch Hirntumor.“ Zudem organisiert Sie für den Patienten ein Bett auf der Intensivstation und bespricht mit den Kollegen der Neuroradiologie eine zusätzliche Untersuchung, die noch am Aufnahmetag notwendig wird.

Nach dem Eintreffen des Patienten in die Notaufnahme ist der Patient schon voll wach und orientiert. Die linksseitige Hemiparese ist jetzt ausgeprägt. Es erfolgt die Aufnahme auf die Zentralchirurgische Intensivstation zur Überwachung. Außerdem wartet der Patient auf die angemeldete Untersuchung. Der behandelnde Arzt der Intensivstation, Dr. Falken, ruft die Dienstärztin Dr. Müller an und möchte wissen, welche Untersuchung genau angemeldet werden soll und warum die Untersuchung notwendig ist.

Lernpunkte
Close

Lernpunkte:
1. Wie lautet die Definition der Epilepsie? Kann man dem Patienten schon zu diesem Zeitpunkt die Diagnose "symptomatische Epilepsie" bestätigen?
2. Warum ist die Hemiparese jetzt mehr ausgeprägt als vorher?
3. Ist bei jedem neu diagnostizierten Hirntumor die Überwachung auf der Intensivstation notwendig?
4. Welche Untersuchung soll noch am gleichen Abend stattfinden?

Bitte entscheiden Sie, mit welcher der Differentialdiagnosen der Fall fortgesetzt wird

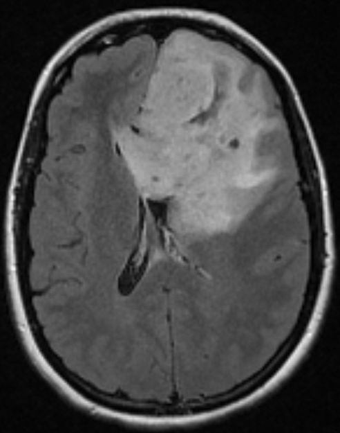
Frau Dr. Müller bestätigt dem Kollegen die Notwendigkeit der Untersuchung, da es sich bis jetzt nur um einen Verdacht auf Hirnabszess handelt. Sollte sich der Verdacht im MRT nicht bestätigen, ist keine notfallmäßige Operation am Abend oder in der Nacht indiziert. Trotzdem werden zwei Blutkulturen abgenommen. Zusätzlich zu der diagnostischen Untersuchung soll eine Hochauflösungs-Sequenz in T1-Wichtung mit Kontrastmittel gemessen werden. Die Untersuchung wird 16:30 Uhr durchgeführt. Der vorläufige Kurzbefund lautet:

Es findet sich eine Raumforderung im rechen Frontalllappen, noch vor dem Gyrus praecentralis. Der Befund ist zentralnekrotisch, inhomogen mit randständiger Schrankenstörung. Die diffusionsgewichteten Sequenzen zeigen keine Diffusionsstörung im zentralnekrotischen Teil der Raumforderung, so dass ein Abszess eher unwahrscheinlich ist. Differenzialdiagnostisch kommt ein höhergradiger hirneigener Tumor oder eine Metastase in Frage. Ein Lymphom erscheint weniger wahrscheinlich.

Frau Dr. Müller bespricht den Befund mit ihrem Oberarzt, Prof. Apfelbaum. Da der MRT - Befund nicht für einen Abszess spricht, kann der Patient auf die Normalstation übernommen werden.

Hier wird zusätzlich eine Dexamethasontherapie mit 4 x 4 mg / Tag unter Magenschutz mit Pantozol 40 mg 1-0-0, sowie Thromboseprophylaxe mit niedermolekularem Heparin s.c. eingeleitet. Frau Dr. Müller klärt den Patienten über die Verdachtsdiagnose eines Hirntumors auf und bietet ihm eine operative Behandlung an. Der Patient entscheidet sich für die Operation und bleibt auf der neurochirurgischen Normalstation. Er möchte aber wissen, ob die Möglichkeit besteht, dass der Befund gutartig ist. Darüber möchte Frau Dr. Müller aufgrund der fehlenden histologischen Sicherung keine Auskunft geben. Es wird die Operation vorbereitet und die entsprechende Einverständniserklärung vom Patienten erhoben. Am Operationstag wird um 6 Uhr morgens dem Patienten 5-ALA (5-Aminolävulinsäure, Gliolan) zum Einnehmen gegeben.

MRT Bild
CloseMRT Bild
Lernpunkte
Close

Lernpunkte:
1. Weswegen wird Dexamethason gegeben?
2. Was für ursächlichen Typen des Hirnödems werden unterschieden?
3. Kann ein zytotoxisches Ödem gut mit Kortikoiden beeinflusst werden?
4. Klassifikation der ZNS-Tumore. (online)
5. Wozu dient die Hochauflösungssequenz, die aufgenommen worden ist?

Die Operation wird nach entsprechender Vorbereitung mit Hilfe von Neuronavigation, elektrophysiologischem Monitoring und Fluoreszenz unter blauem Licht (400 nm) durchgeführt. Intraoperativ zeigt der Tumor eine deutliche Fluoreszenz, was für einen höhergradigen hirnegenen Tumor spricht. Als malignes Gliom wird der Tumor auch im Schnellschnitt beschrieben.

Nach einer Woche kommt der definitive histologische Befund. Es handelt sich um einen Glioblastom, WHO Grad IV. Eine Methylierung des MGMT-Promotors ist nicht vorhanden, IDH1 – Mutation ist ebenfalls negativ. Der Fall wird im interdisziplinären Tumorboard besprochen, es wird eine RCTx nach Stupp – Schema empfohlen. Der Fall wird als palliativ eingestuft.

Lernpunkte
Close

Lernpunkte:
1. Wozu dient die intraoperative Elektrophysiologie? Wie wird die durchgeführt?
2. Welche Rolle spielt die MGMT-Methylierung für die Prognose? IDH-Mutation?
3. Wie wird die Radiochemotherapie nach Stupp-Schema durchgeführt?

Frau Dr. Müller bestätigt dem Kollegen die Notwendigkeit der Untersuchung, da es sich bis jetzt nur um einen Verdacht auf Hirnabszess handelt. Sollte sich der Verdacht im MRT nicht bestätigen, ist keine notfallmäßige Operation am Abend oder in der Nacht indiziert. Trotzdem werden zwei Blutkulturen abgenommen. Zusätzlich zu der diagnostischen Untersuchung soll eine Hochauflösungs-Sequenz in T1-Wichtung mit Kontrastmittel gemessen werden. Die Untersuchung wird 16:30 Uhr durchgeführt. Der vorläufige Kurzbefund lautet:

Es findet sich eine Raumforderung im rechen Frontalllappen, noch vor dem Gyrus praecentralis. Der Befund zeigt sich in der DWI als diffusionsgestört, daher besteht ein dringender Verdacht auf Hirnabszess. Befund telefonisch an Dr. Müller übergeben.

Frau Dr. Müller bespricht den Befund mit ihrem Oberarzt, Prof. Apfelbaum. Es wird eine nofallmäßige Operation indiziert. Prof. Apfelbaum bereitet die Neuronavigation mit der Trajektorie zur navigierten Punktion des Abszesses vor. Eine Antibiose wird vorerst nicht gegeben.

MRT Bild - T1+C
CloseMRT Bild - T1
MRT Bild - FLAIR
CloseMRT Bild - FLAIR
MRT Bild - DWI
CloseMRT Bild - DWI
MRT Bild - ADC
CloseMRT Bild - ADC
Lernpunkte
Close

Lernpunkte:
1. Weswegen wird keine Antibiose vor der Operation verabreicht?
2. Was ist der häufigste Erreger beim Hirnabszess?
3. Welche weiteren Untersuchungen sind im Rahmen der Fokussuche indiziert?
4. Wie lange soll ein Hirnabszess mit Antibiotika behandelt werden?
5. Risikofaktoren Hirnabszess?

Die Operation wird nach entsprechender Vorbereitung mit Hilfe der Neuronavigation durchgeführt. Über ein Bohrloch wird eine Drainage in den Abszess eingeführt. Es entleert sich Eiter, das Material wird in die Mikrobiologie eingeschickt. Die Drainage wird mit ca 5 ml Gentamicin (1 mg / ml) angespült und in der Abszesshöhle belassen.

Die Sofortmikroskopie zeigt keine Keime. Der Patient wird zunächst empirisch leitliniengemäß mit i.v. Ceftriaxon in Kombination mit Metronidazol und Flucloxacillin behandelt.

Lernpunkte
Close

Lernpunkte:
1. Wie lange dauert die antibiotische Behandlung bei einem Hirnabszess?
2. In welchen Fällen kann eventuell eine rein nichtoperative Behandlung (antibiotisch) überlegt werden?
3. In welchen Fällen wäre eine Resektion des Abszesses (anstelle von Drainage) indiziert?

Frau Müller ist 46 Jahre, verheiratet und hat 2 Söhne. Sie arbeitet als Büroangestellte in einer Versicherungsfirma, ihr Mann Rainer als Ingenieur, ist aber sehr selten zu Hause. Wie an jedem Morgen sitzt Frau Müller mit ihren beiden Söhnen am Frühstückstisch und schmiert die Brote für die Schule.
Plötzlich verspürt sie einen heftigen Kopfschmerz am Hinterkopf, wie er noch nie aufgetreten war. Sie leidet seit langer Zeit schon an Migräne und denkt, es sei wieder eine solche Attacke. Wie jedes Mal nimmt Frau Müller eine Tablette Paracetamol, wovon die Symptomatik etwas besser wird. Sie legt sich erst einmal hin um sich zu entspannen, doch die Kopfschmerzen wollen nicht aufhören. Obwohl sie nichts gegessen hat verspürt sie Übelkeit und muss sich übergeben. Sie bittet ihren Sohn, den Notarzt zu informieren. Nach einiger Zeit ist der Notarzt, Dr. Hartmann, eingetroffen und befragt Frau Müller. Sie berichtet über das plötzliche Kopfschmerzereignis und die Übelkeit mit Erbrechen. Bei der körperlichen Untersuchung fällt dem Notarzt eine ausgeprägte Nackensteifigkeit auf. Weitere neurologische Ausfälle findet er nicht. Dr. Hartmann informiert den diensthabenden Neurologen einer Klinik und stellt die Patientin dort vor.

Der diensthabende Neurologe, Dr. Steffen, veranlasst eine Computertomographie des Kopfes. Der Kurzbefund lautet:

Es findet sich eine Blutung in den basalen Zisternen, sowie in den Sylvischen Fissuren bds.

Da der Verdacht besteht, dass es sich hierbei um eine Aneurysmablutung handelt, wird Frau Dr. Hoffmann, die diensthabende Neurochirurgin, hinzugerufen. Für sie ist die Sache klar und übernimmt die Patientin auf die neurochirurgische Wachstation, legt der Patientin einen zentralvenösen Zugang und eine arterielle Druckmessung zur kontinuierlichen Blutdrucküberwachung. Sie informiert die Schwester und bittet sie den Blutdruck engmaschig zu kontrollieren, welcher nicht höher als 130 mmHg sein sollte. Desweiteren setzt die Ärztin einen spezifischen Calziumantagonisten für Hirnarterien über einen Perfusor an.

CT Bild
CloseCT Bild

Dr. Albers, ein Neuroradiologe, wird darüber informiert, dass eine Angiographie der intrakraniellen Gefäße durchgeführt werden soll. In dieser bestätigt sich nun der Verdacht einer Aneurysmablutung. Es zeigt sich ein Bifurkationsaneurysma ausgehend von der Arteria cerebri media links, welches aus neuroradiologischer Sicht laut Dr. Albers interventionell durch Coiling nicht versorgt werden kann, da es direkt in der Gabel der Aufteilungstelle liegt, einen relativ breiten Hals aufweist und einen peripheren Mediaast mit einbezieht.

Nachdem der Befund der Angiographie vorhanden ist, bespricht Frau Dr. Hoffmann die operative Vorgehensweise und die möglichen Komplikationen mit Frau Müller. Vereinbarungsgemäß wird die Patientin am nächsten Tag operativ über eine osteoplastische Trepanation durch Aneurysma-Clipping versorgt.

DSA
CloseDSA
Aneurysma vor dem Clipping
CloseAneurysma vor dem Clipping
Aneurysma mit Clips
CloseAneurysma mit Clips

Frau Müller hat die Operation gut überstanden und wird 3 Tage später auf die neurochirurgische Wachstation verlegt. Wegen der möglichen Risiken eines Vasospasmus werden umtägig von Frau Dr. Hoffmann transkranielle Doppleruntersuchungen durchgeführt, die im weiteren Verlauf keine Flussbeschleunigungen zeigen. Trotz alledem entschließt sich die Ärztin mit einer moderaten Triple-H-Therapie zu beginnen. Neurologische Auffälligkeiten der Patientin ergeben sich nicht. Sie ist noch sehr schwach, kann aber reden und alle Extremitäten bewegen.

Eines Morgens fällt der Schwester auf, dass Frau Müller auf Ansprache nicht antwortet und eine Schwäche der rechten Körperhälfte aufweist. Auch an diesem Tag hat Frau Dr. Hoffmann wieder Dienst. Sie veranlasst sofort eine Computertomographie, in der sich kein Infarkt oder eine Nachblutung zeigt.

Anschließend wird nach Rücksprache mit dem diensthabenden Neuroradiologen erneut eine Angiographie durchgeführt, in der sich ein ausgeprägter Vasospasmus darstellt. Das Aneurysma ist nicht mehr nachzuweisen. Dr. Liebner, ein weiterer Neuroradiologe, entschließt sich zu einer Angioplastie und der lokalen Gabe von Nimotop.
Frau Müller wird nach der Intervention wieder auf die Intensivstation zur Überwachung zurückverlegt. Die Triple-H Therapie wird weitergeführt. In den weiteren Tagen kommt es unter logopädischer Betreuung bei Frau Müller zu einer Verbesserung der Sprache. Auch die rechtsseitige Schwäche ist rückläufig. Vasospasmen sind in der transkraniellen Dopplersonografie nicht mehr nachzuweisen. Nach 3 wöchigem Aufenthalt in der Klinik kann Frau Müller endlich in eine Rehaklinik verlegt werden.
Nach 6 Monaten kommt die Patientin zur Kontrolle in die neurochirurgische Ambulanz. Die Ambulanzärztin Frau Dr. Heller ist erstaunt, wie gut sich Frau Müller in der Rehaklinik erholt hat. Außer einer geringen kognitiven Leistungsschwäche fallen der Ambulanzärztin keine Besonderheiten auf. Frau Müller erzählt ihr, dass sie sich sehr gut fühlt und bald wieder anfangen wird zu arbeiten.
DSA

CloseDSA mit Spasmus

Herr Sänger ist 52 Jahre alt und von Beruf Bauarbeiter. Er ist ledig, hat aber seit einiger Zeit wieder eine Freundin. Mit seinen Kollegen vom Bau trifft er sich 1-2mal die Woche im Gasthaus „Zum Krug“ um Skat zu spielen. Eigentlich wollte Herr Sänger schon längst aufhören zu rauchen, was seine neue Freundin freuen würde, die vor 4 Jahren aufgehört hat. Doch in der netten Runde wird viel geraucht und getrunken. Herr Sänger raucht schon seit 35 Jahren. An einem schönen Sommertag steht Herr Sänger morgens auf und kocht sich einen Kaffee. Es fällt ihm schwer mit der linken Hand die Tasse Kaffe an den Mund zu führen. Am Bau angekommen, sagt ihm ein Kollege, dass er immer das linke Bein hinterher zieht. Er kommt abends nach Hause und erzählt seiner Freundin Brigitte, ob ihr das auch aufgefallen sei. Weil Brigitte in Schichten in ihrem Job arbeitet, sehen sie sich sehr selten. Nachdem er ihr zeigt, welches Problem er mit dem linken Arm und Bein hat, informiert die Freundin den Notarzt. Herr Sänger wird noch am Abend in ein nahe liegendes Krankenhaus durch den Notarzt eingeliefert. Der diensthabende Kollege der Rettungsstelle Dr. Huber übernimmt den Patienten, führt eine körperliche Untersuchung durch, in der ihm eine Hemiparese links auffällt.



Lernpunkte
Close

Lernpunkte:
1. Differenzialdiagnose der Hemiparese
2. Was sind die nächsten diagnostischen Schritte?

Er veranlasst eine Computertomographie des Kopfes. Dr. Huber der Rettungsstellenarzt möchte einen Infarkt oder eine Blutung ausschießen.



CT Bild
CloseCT Bild
Lernpunkte
Close

Lernpunkte:
1. Was sieht man im CCT?
2. Wie unterscheidet sich eine Blutung von einem Tumor im CT?
3. Google Bilder Suche: CT brain intracranial hemorrhage
4. Google Bilder Suche: CT brain tumor
5. Google Bilder Suche: CT brain stroke

Im CT zeigt sich eine Raumforderung frontal rechtsseitig mit einem perifokalen Ödem, welches bis in die Zentralregion hineinreicht. Als Dr. Huber den Befund erhält, informiert er telefonisch den diensthabenden Neurochirurgen Dr. Seibel, der den Patienten zur operativen Versorgung in die Neurochirurgie stationär übernimmt. Bei der Anamneseerhebung erzählt Herr Sänger, seit etwa 35 Jahren zu rauchen. Ansonsten seien keine Vorerkrankungen bekannt. Bei der körperlichen Untersuchung fällt dem Arzt eine leichte Facialisparese links und eine armbetonte Hemiparese links (obere Extremität KG 2-3/5, untere KG 4/5) auf. Die Muskeleigenreflexe sind links betont auslösbar. Des Weiteren fällt ein Klonus des linken Fußes auf.



Lernpunkte
Close

Lernpunkte:
1. Was ist der nächste diagnostische Schritt?
2. Differenzialdiagnose zu diesem Zeitpunkt?

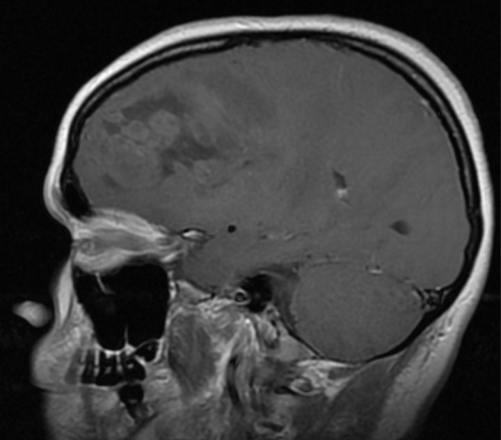
Wegen des ausgedehnten Ödems beginnt Dr. Seidel mit einer Dexamethasontherapie. Um eine genauere Gewebeauflösung zu erhalten, wird eine MRT-Untersuchung mit Kontrastmittel durchgeführt. In dieser zeigt sich ein ausgedehnter Tumor rechts im Bereich der rechten Zentralregion.
Herr Sänger wird darüber informiert, dass es sich bei ihm um einen Tumor im Kopf handle und eine Operation durchgeführt werden muss. Der Patient wird genauestens über die möglichen Risiken der Operation aufgeklärt und ist mit dem Eingriff einverstanden.



MRT Bild - ohne KM
CloseMRT Bild
MRT Bild - mit KM
CloseMRT Bild
Lernpunkte
Close

Lernpunkte:
1. Was sind die Risiken der Operation?
2. Wie würde man die Lage des Tumors beschreiben?
3. Welche wichtigen Hirnregionen befinden sich in der Nähe des Tumors?
4. Gibt es andere Therapiemöglichkeiten außer Operation?
5. Wie läuft die präoperative Vorbereitung?
5. Bei welchen Erkrankungen wird Dexamethason zur Behandlung des Hirnödems angesetzt?
5. Welche anderen Medikamente können zur Behandlung des Hirnödems angesetzt werden und wann sind diese indiziert?

Am nächsten Tag wird die Operation über eine osteoplastische Trepanation und die Extirpation des Tumors durchgeführt. Intraoperativ zeigt sich ein gefäßreicher Tumor, der vom gesunden Hirngewebe sehr schlecht abzugrenzen ist. Intraoperativ wird die Fluoreszenz und direkte Stimulation mit intraoperativem elektrophysiologischem Monitoring angesetzt. Nach der Operation wird Herr Sänger auf die neurochirurgische Wachstation verlegt.



Lernpunkte
Close

Lernpunkte:
1. Warum wird Fluoreszenz angesetzt und wie funktioniert sie?
2. Wozu dient die Elektrophysiologie?
3. Welche anderen Geräte werden bei der Operation verwendet?

Eine MRT-Untersuchung des Kopfes am Folgetag bestätigt regelrechte Verhältnisse im OP-Gebiet. Es zeigt sich kein Kontrastmittel aufnehmender Tumor mehr. Da keine Nachblutungen nachzuweisen sind, kann Herr Sänger auf die Normalstation verlegt werden.
Dem Stationarzt fällt in der neurologischen Untersuchung die weiterhin bestehende Hemiparese auf und spricht mit dem Patienten darüber, dass der Tumor auch Teile der Pyramindenbahn „zerstört“ hat, die für die Bewegung zuständig ist und dies wohl so bleiben wird. Nach 7 Tagen bespricht Dr. Seidel den histologischen Befund mit dem Patienten. Dabei sagt er ihm, dass es sich um einen hirneigenen Tumor handelt, der sehr schnell wächst, sodass eine weitere Therapie durchgeführt werden muss. In der neurochirurgischen-strahlentherapeutischen Konferenz wird der Fall besprochen und es wird beschlossen bei dieser Art von Tumor, einem Glioblastoma multiforme, IDH Wildtyp mit MGMT-Methylierung eine kombinierte Radiochemotherapie durchzuführen. Nach dem 08. postoperativen Tag wird Herr Sänger nach Hause entlassen. Währen der nächsten Woche findet ein Gespräch in der Klinik für Strahlentherapie statt, bei dem die weitere Therapie (ambulante Strahlentherapie mit gleichzeitiger Chemotherapie) geplant wird.



Postoperatives MRT Bild - ohne KM
CloseMRT Bild
Postoperatives MRT Bild - mit KM
CloseMRT Bild
Lernpunkte
Close

Lernpunkte:
1. Welche Rolle spielt das Ausmaß der Resektion für die Prognose?
2. Warum soll die postoperative MRT-Untersuchung innerhalb von 72h nach der Operation erfolgen?
3. Welche genetischen Merkmale werden heutzutage bei den Glioblastomen untersucht?
4. Spielen die genetischen Merkmale eine Rolle bei der Therapieentscheidung?

Frau Trautenberg arbeitete als Lehrerin, ist aber schon seit zwei Jahren in der Rente. Sie genießt vor allem die Zeit, die sie in ihrem Kleingarten verbringen kann. Sie leidet seit Jahren an Nackenschmerzen. Seit zwei Monaten verspürt sie gelegentlich Kribbeln und Taubheit im Daumen der rechten Hand, ab und zu Kribbeln auch im Zeigefinger und im Mittelfinger. Sie kann sich erinnern, dass Sie ungefähr in der Zeit, wo die Beschwerden angefangen haben, vom Fahrrad gestürzt ist. Die Kribbelparästhesien werden mit der Zeit mehr und mehr unangenehm und sind mit schmerzhaften Gefühlen verbunden. Sie entscheidet sich, zum Hausarzt zu gehen.



Lernpunkte
Close

Lernpunkte:
1. Differenzialdiagnose der Kribbelparästhesien.
2. Differenzialdiagnose zwischen Radikulopathie und Neuropathie anhand klinischer Untersuchung.

Frau Trautenberg stellt sich mit den Beschwerden bei ihrem Hausarzt vor. Der Hausarzt, Dr. Jäger, fragt sie nach der Intensität der Schmerzen. Sie gibt an, in Ruhe Schmerzen in der Intensität von 2 der visuellen Analogskala (VAS) zu spüren, bei Belastung gibt sie die 4 an. Das Kribbeln und die Schmerzen wecken sie manchmal in der Nacht, sie hat das Gefühl, dass sie manchmal falsch liegt, dann kommen die Schmerzen. Der Hausarzt führt die klinische Untersuchung durch.

Bei der stellt er die folgende Befundkonstellation fest:

A. Hypästhesie der Volarseite der Finger I-IV rechts, sowie der volaren Handoberfläche mit gestörter Zwei-Punkt-Diskriminierung, Schmerzen aber auch im Unterarm und Oberarm. Zudem positives Tinel - Zeichen am Handgelenk rechts, positives Phalen-Zeichen, seitengleiche Muskeleigenreflexe, keine Paresen.

B. Schmerzen der Finger I-III rechts, nicht scharf abgegrenzt, die Patientin beschreibt das Einschießen in die Nackenmuskulatur, keine Muskelschwäche, Abschwächung des Bizepssehnenreflexes und des Radius-Periost-Reflexes rechts im Vergleich zur Gegenseite, der Trizepssehnenreflex erscheint eher stärker als links, obwohl dies nicht eindeutig ist. Es besteht eine eindeutige Steigerung der MER der rechten unteren Extremität im Vergleich zu links. Phalen-Zeichen und Tinel-Zeichen bleiben
negativ.

Lernpunkte
Close

Lernpunkte:
1. Verdachtsdiagnosen beim Fall A / B?
2. Die nächsten diagnostischen Schritte?

Dr. Jäger informiert die Patientin über die Verdachtsdiagnose eines Karpaltunnelsyndroms. Es folgt eine Überweisung zu einem Spezialisten zur Komplettierung der Diagnostik. Es wird eine Handgelenkschiene verschrieben, die Frau Trautenberg in der Nacht tragen soll. Der Hausarzt informiert allerdings die Patientin, dass die konservative Therapie mittels Schienung meist nur vorübergehende Verbesserung der Symptomatik erzielen kann und die Verzögerung der definitiven Therapie nicht unbedingt vorteilhaft ist (Nervenschäden sind nur zum Teil reversibel).

Sensibles Versorgungsgebiet N. medianus
CloseSensibles Versorgungsgebiet N. medianus
Lernpunkte
Close

Lernpunkte:
1. Wie lange soll die konservative Therapie versucht werden (allgemein und in diesem Fall)? (AWMF Leitlinie)?
2. Was sind die Voraussetzungen für die Beendigung des konservativen Therapieversuchs? Sind die hier erfüllt?

Die elektrophysiologische Untersuchung beim niedergelassenen Neurologen zeigt den folgenden Befund:

Die motorische Neurographie zeigt eine erhöhte distal-motorische Latenz am rechten N. medianus im Vergleich zu den Referenzwerten. Links sind die Latenzen grenzwertig. In der sensiblen Neurographie zeigt sich eine Verlangsamung der Nervenleitgeschwindigkeit auf 35 m/s, verglichen mit der NLG von 58 m/s am rechten N. ulnaris. Auch hier ist links der Befund grenzwertig mit NLG von 48 m/s. Somit bestätigt sich das klinisch vermutete Karpaltunnelsyndrom rechts.

Lernpunkte
Close

Lernpunkte:
1. Welche weiteren Untersuchungen sind präoperativ erforderlich?
2. Welche konservative / operative Therapiemethoden gibt es?

Herr Dr. Jäger überweist die Patientin in die Klinik für Neurochirurgie zur Beurteilung der Operationsindikation. Herr Dr. Zimmermann empfängt sie in der Ambulanz für Chirurgie der peripheren Nerven. Er informiert die Patientin über die Therapiemöglichkeiten, die Patientin entscheidet sich aufgrund der doch leicht erhöhten Komplikationsrate bei der endoskopischen Operation für die Goldstandard-Methode im Sinne einer offenen Karpaltunneloperation. Sie wird noch während des Erstgesprächs für die Operation aufgeklärt, der Arzt nimmt ihr das Blut ab und plant die ambulante Operation in der Tagesklinik.

Hautschnitt bei der offenen Operation
CloseHautschnitt bei der offenen Operation
Hautschnitt bei der endoskopischen Operation
CloseHautschnitt bei der endoskopischen Operation

Die Operation erfolgt in einer Woche. Herr Dr. Zimmermann informiert die Patientin, dass die Operation ca 10-15 Minuten dauern wird. Der Arm wird auf dem Armtisch ausgelagert, die Operation wird in einer Armplexusanästhesie komplikationslos durchgeführt. Das Ziel der Operation ist die komplette Spaltung des Ligamentum carpi transversum, die durch einen kurzen Schnitt durchgeführt werden kann. Nach der Spaltung des Ligamentum carpi transversum (Retinaculum flexorum) von einem ca 3 cm langen Schnitt in der Hohlhand zeigt sich ein komplett dekomprimierter Nerv. Die Wunde wird mit 5-0 Fäden verschlossen.

Schematische OP-Darstellung
CloseMRT Bild
Lernpunkte
Close

Lernpunkte:
1. Welche Behandlung soll nach der Operation verordnet werden? (Ergotherapie?)
2. Welche Symptome sind nach der Operation rasch regredient und welche können länger verbleiben? (Reizsymptome - Kribbeln und Schmerzen / Ausfallsymptome - Hypästhesie und Parese)
3. Was bedeutet das Wort “Pseudoneurom”?

Beim V.a. Radikulopathie C6 rechts veranlasst Dr. Jäger ein MRT der HWS in einer radiologische Praxis. Die Befundung kommt etwa 14 Tage später und lautet:

… Konstitutiv enger Spinalkanal …
… Osteochondrose HWK5/6 mit breitbasigem Bandscheibenvorfall paramedian rechts, Foramenstenose bds. rechtsbetont. Spinalkanalstenose mit T2-Myelopathiesignal in dieser Etage, keine Veränderung des T1-Signals …
… Osteochondrose HWK6/7 mit breitbasigem Bandscheibenvorfall, auch hier rechtsbetont, Spinalkanalstenose mit T2-Myelopathiesignal, allerdings geringer als in der Etage HWK5/6 keine Veränderung des T1-Signals …

Herr Dr. Jäger überweist die Patientin in die Klinik für Neurochirurgie mit Bitte um Beurteilung der Operationsindikation.

MRT Bild - T2 Sagittal
CloseMRT Bild - T1
Lernpunkte
Close

Lernpunkte:
1. Was bedeutet “T2-Myelopathiesignal”?
2. Wie würde sich ein motorischer Ausfall der C6-Wurzel äußern?

Frau Dr. Schreiber in der neurochirurgischen Ambulanz liest den Bericht des Hausarztes und führt eine neurologische Untersuchung durch, die im Wesentlichen den Befund des Hausarztes bestätigt. Sie berät die Patientin bezüglich des Befundes und informiert sie, dass es sich um keinen Notfall handelt, dass man allerdings aufgrund der relativ rasch progredienten Symptomatik (Beginn vor ca 2 Monaten) bei nachgewiesener T2-Signalanhebung die Operation empfiehlt. Die Patientin möchte nun wissen, wie die Operation durchgeführt wird.

Lernpunkte
Close

Lernpunkte:
1. Welchen Zugang wählen wir üblicherweise bei HWS-Operationen?
2. Gibt es andere möglichkeiten der Behandlung?

Frau Dr. Schreiber erklärt der Patientin, dass die Operation vom ventralen Zugang durchgeführt wird. Durch diese Operation kann der Bandscheibenvorfall entfernt werden und gleichzeitig die in die Foramina eingehenden Osteophyten durchgeführt werden. Eine dorsale Dekompression wäre wegen des Druckes von ventral nicht das optimale Vorgehen. Sie klärt die Patientin über die möglichen Risiken der Operation auf. Die Frage der Patientin nach einer Bandscheibenprothese wird diskutiert, bei einer nachgewiesenen Myelopathie in 2 Etagen wird dies allerdings nicht empfohlen. Die Patientin bekommt einen Aufnahmetermin in die Klinik in ca 2 Wochen.

Lernpunkte
Close

Lernpunkte:
1. Wie genau wird die Operation mit dem ventralen Zugang durchgeführt?

Am Aufnahmetag wird die Patientin für die Operation aufgeklärt. Es wird das Aufnahmelabor abgenommen und eine umfangreiche Aufnamheuntersuchung durchgeführt. Bei der Operation werden die Bandscheiben, sowie die Osteophyten an den Wirbelkörpern mittels Fräse und Stanzen entfernt. Die Stenose des Neuroforamens, die die Beschwerden der Patientin verursacht hat, war vor allem durch die Osteophyten bedingt. Als Platzhalter werden PEEK-Cages (Polyetheretherketon) implantiert, die die Höhe des Segmentes halten sollen und gleichzeitig eine Fusion der Wirbelkörper ermöglichen sollen. Eine Verplattung wird beim festen Sitz der Cages nicht notwendig. Es wird eine Drainage in die Wunde eingelegt und die Wunde schichtweise verschlossen.

Postoperativ berichtet die Patientin von einer deutlichen Schmerzlinderung vor allem im Arm und in der Hand, die Nackenschmerzen sind zwar besser geworden, sind aber noch nicht ganz weg. Die behandelnde Assistenzärztin klärt die Patientin auf, dass die Nackenschmerzen nicht unbedingt durch die Spinalkanalstenose verursacht werden, und dass eine weitere Rehabilitation mit Stärkung der Nackenmuskulatur notwendig wird. Die Patientin ist zufrieden. Die Drainage wird am zweiten postoperativen Tag entfernt, die Patientin kann am 5. postoperativen Tag entlassen werden.

Postoperative Röntgenaufnahme
CloseRöntgenaufnahme
Lernpunkte
Close

Lernpunkte:
1. Sind nach der Operation passive Manipulationen an der HWS erlaubt?